محافظة أبين
طفلة مريضة في يافع تناشد رجال الخير إنقاذ حياتها
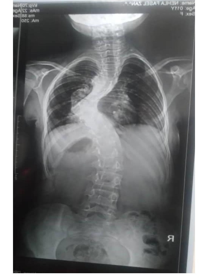
ناشدت الطفلة نهلة المحرمي البالغة من العمر 12 عاماً التي تنتمي إلى جبل محرم في مديرية يافع رصد بمحافظة أبين أهل الخير والعطاء إلى المساهمة في إنقاذ حياتها مما تعاني من تشوه وانحراف شديد في العمود الفقري سبب لها إعاقة وحرمان من العيش حياة طبيعية كبقية الأطفال وهي بحاجة إلى عملية جراحية لتعديل الفقرات في مركز متخصص بالخارج حسب تقرير الأطباء، وبسبب الظروف الصعبة لوالدها لم يتمكن من علاجها في الخارج للتكلفة الكبيرة التي تقدر ب 40 ألف دولار.
ولهذا أطلقت الطفلة نهلة المحرمي مناشدة إنسانية لأهل الخير من أبناء يافع من رجال المال والأعمال وكل المقتدرين المشهود لهم بالفزعات مد يد العون لوالدها لإنقاذ حياتها وعلاجها بالخارج بصورة مستعجلة لأن فقرات عمودها الفقري تزداد بالانحناء والتشوه مع مرور الأيام ما يزيد من تدهور صحتها بصورة مستمرة.
للتواصل مع والد الطفلة على الأرقام التالية:
733910707
775497346




